Skip Menu
Continue
  • 1655 55th St,
  • Brooklyn, NY 11204
  • Home
  • About Us
    • Our Office
    • New Patients
    • Testimonials
  • Our Doctors
    • Brian Greenspan, DDS
    • Joseph A. Bruckner, DDS
  • Our Team
  • Services
      • Apicoectomy
      • Cracked Teeth
      • Endodontic Retreatment
      • Root Canals
      • Traumatic Injuries
    • View All
  • Technology
    • CBCT
    • Digital Radiography
    • Microsurgical Techniques
  • Referrers
  • Contact
    • Contact Us
    • Request Appointment

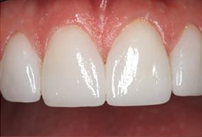
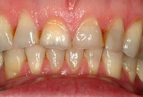
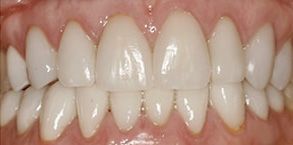
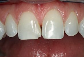
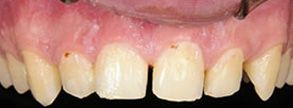
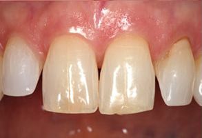
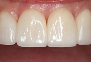
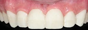
Smile Gallery

Additional Information

Our Location

1655 55th St
Brooklyn, NY 11204
(718) 972-7400

Follow Us